年仅40岁突发心梗 汶医胸痛中心紧急为患者“拆弹”
鲁网2月20日讯 岁末年关是众多心血管疾病爆发的时期,其中包括心力衰竭、心肌梗死等。在老百姓的认知中,心血管疾病属于一种老年病,然而随着居民生活条件的改善,诸多不良的生活习惯,让这个曾经的“老年病”将“魔爪”伸向了更多年轻人。
近期,济宁市汶上县人民医院心血管内科二区团队凭借快速的应急处置能力、过硬的急救技术成功救治了一位只有40岁的心肌梗死患者,让患者重获“心”生。

1月31日凌晨,王先生突发胸闷,持续不缓解,急诊科医生首次接触患者后5分钟内快速评估患者病情,并完成心电图检查,提示急性心肌梗死,立即上传至胸痛中心微信群。胸痛医师贾存晗快速了解患者病情后,立即做出判断,患者确诊为急性下壁ST段抬高型心肌梗死,立即给予吸氧、心电监护、建立静脉通路,启动胸痛中心绿色通道,直达导管室。

患者到达导管室后,张丙坤主任带领的介入团队立即为患者实施紧急介入治疗,并顺利开通血管,患者胸闷症状明显减轻。术后转入心血管内科二区病房继续治疗。

术前

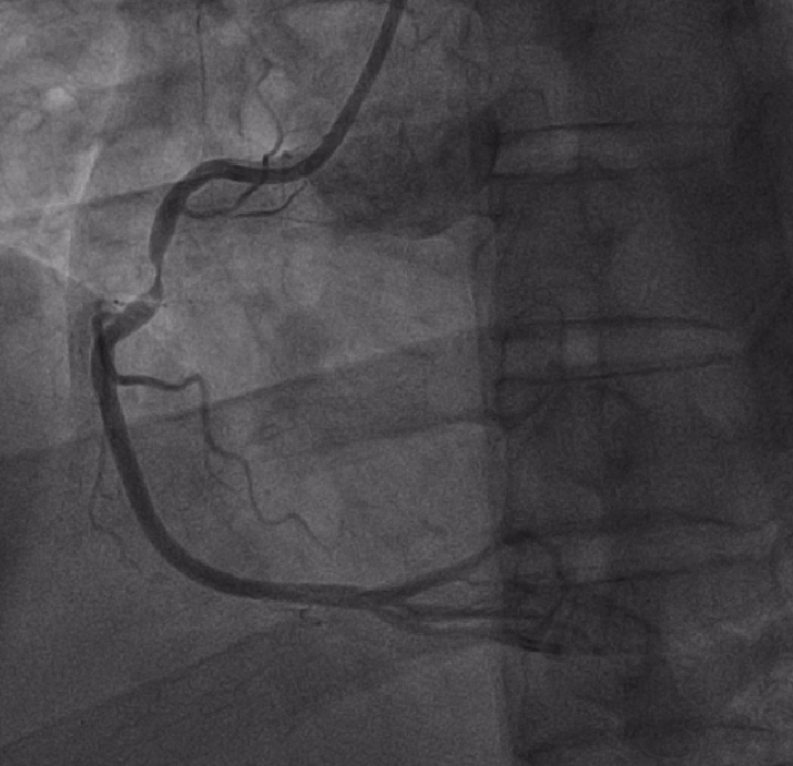
术后
通过后续规范化、标准化的治疗与护理,王先生病情稳定,恢复良好。于是王先生和家属特意送来一面锦旗感谢张丙坤主任及心血管内科二区医护团队的精心治疗与细心照顾让他重获新生。“谢谢您,医生!您救了我的命!您是我的救命恩人,我永远感激您!” 王先生紧紧握住心血管内科二区张丙坤主任的手激动地说。话语虽简短,但却充满了对医生的感激和敬意。
张丙坤主任说到:“除了先天性因素外,年轻人心肌梗死大多都有共同的特点:运动量少、暴饮暴食、过度劳累、吸烟喝酒、熬夜等,上述都是引发心肌梗死患病人群年轻化的原因。中国发生心梗平均年龄为62岁,但15~29岁、30~44岁年龄组发病率不断上升,这意味着心梗发病呈现年轻化趋势。因此年轻人要将预防措施前移,重在控制引起心梗的危险因素,患有高血压、糖尿病等慢性病的年轻人,更不该讳疾忌医。”
这一面鲜艳厚重的锦旗代表的不仅是患者及家属的感激之情,更是对汶上人民医院医护人员精湛医术和高尚医德的肯定。汶上县人民医院作为通过国家胸痛中心认证的医院,将进一步发挥好区域协作救治能力,不断优化、持续改进胸痛中心流程,提高救治能力,为胸痛患者搭建起一条经得起托付的绿色急救通道,造福更多的胸痛患者!(通讯员 陈浩学)