济宁市汶上县人民医院成功为高龄、高危患者实施膀胱结石+前列腺增生手术
鲁网4月15日讯 近日,济宁市汶上县人民医院泌尿外科采用成熟的微创手术,为一位88岁高龄老人,成功实施了“经尿道输尿管镜下膀胱结石钬激光碎石+前列腺等离子电切术”, 减少了传统开刀手术带来的痛苦,再一次突破了高龄手术禁区,患者目前病情明显好转。

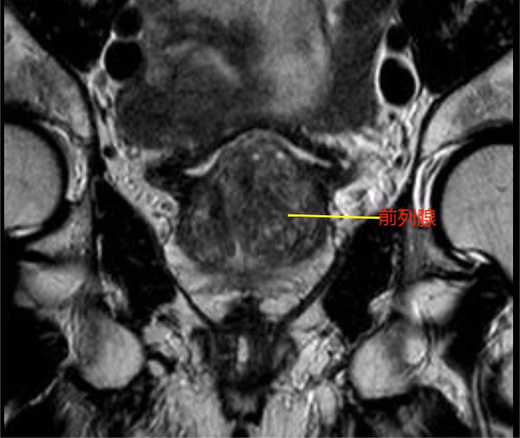
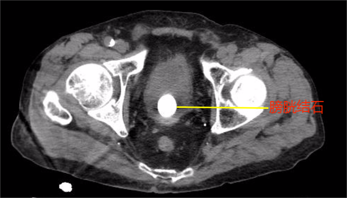
老人今年已88岁高龄,多年来饱受尿频、排尿困难折磨,生活质量受到严重影响。近日,因排尿困难加重遂在家人陪同下来院就诊,经过检查发现老人为前列腺增生及膀胱结石。将老人收治住院后,泌尿外科主任曹东升主任医师团队高度重视,在详细了解病史及查看影像资料后,发现患者高龄并伴有冠状动脉粥样硬化性心脏病、中重度混合性通气功能障碍、慢性支气管炎伴肺气肿,有冠脉支架置入术等病史,且老人已近九旬高龄,是临床上通常被列为的手术禁忌者,如采取保守治疗,前列腺增生引起的排尿功能障碍得不到根本性解决,不仅会带来泌尿系统感染、结石,肾功能损害等严重后果,更对老人的生活质量及心理健康产生严重影响。



考虑到老人强烈的个人意愿,经过麻醉科、心血管内科、呼吸与危重症医学科等多学科会诊,并取得患者家属认可后,最终决定采用微创手术。经过精心的术前准备,在手术室的密切配合下,曹东升主任带领的泌尿外科团队,利用高清腹腔镜、肾镜、高功率钬激光、前列腺等离子电切仪等一大批先进设备,顺利为患者实施了“经尿道输尿管镜下钬激光联合碎石+前列腺等离子电切术”,手术历时1小时30分。
经过医护人员的精心治疗和护理,患者术后恢复良好,未出现任何并发症,术后一周,拔除导尿管,排尿顺畅、无血尿,患者及家属对医院医疗技术及护理水平给予了充分肯定。
随着人民生活水平的日益提高,人均寿命不断增加,临床高龄患者比例逐年攀升,对医护人员专业医疗技术的精度要求也越来越高。汶上县人民医院泌尿外科始终秉承“以病人为中心”的服务理念,积极应对高难挑战,精进微创外科技术,力求以精湛技术与优质服务为患者解除病痛,为全县广大人民群众的健康提供有力保障。(通讯员 陈浩学)